Câu hỏi thường gặp
Một phục hình gián tiếp, còn gọi là cầu hoặc mão răng, được dùng để bao phủ một răng bị vỡ, đổi màu, hình dáng xấu hoặc có vết trám quá lớn.
- Phục hình sẽ khít sát hoàn toàn với răng tự nhiên sau khi đã loại bỏ sạch phần sâu.
- Một phục hình chuẩn sẽ có hình dạng và cảm giác như răng thật.
Răng đóng vai trò quan trọng trong sức khỏe tổng quát và cả diện mạo của bạn. Vì thế, một cách rất tự nhiên, bạn muốn làm mọi thứ có thể để giữ răng khỏe và đẹp. Nhưng thỉnh thoảng, sâu răng tiến triển tới một thời điểm làm răng bạn trở nên quá yếu để tồn tại chỉ với một phục hình trực tiếp (trám răng). Thay vào đó, nha sĩ có thể giới thiệu bạn làm một phục hình gián tiếp, còn được gọi là cầu, mão. Trong trường hợp này, phần mô răng bị sâu được loại bỏ và phục hình khít sát trên mô răng còn lại. Bước này có thể bảo tồn tình trạng sức khỏe cũng như vẻ đẹp của nụ cười bạn.
![]() | Kim loại Sự xuật hiện của các hợp kim với bạc hoặc vàng không thể mô phỏng hình dạng thật của răng. Phục hình truyền thống này đã được sử dụng cách đây hàng thập kỷ. |
![]() | Sứ phủ trên kim loại Sứ phủ trên một sườn kim loại cho hình dạng và màu sắc giống răng thật hơn so với phục hình kim loại toàn bộ. Cấu trúc sườn kim loại giới hạn sự trong mờ làm cho phục hình trông có vẻ đục và thiếu sức sống. |
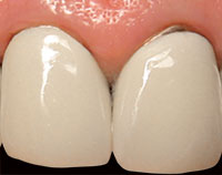
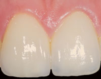
![]() | Oxit Zirconium Mang đến thẩm mỹ, vẻ đẹp và trong tự nhiên như răng thật. Ngoài ra phục hình còn rất cứng và bền. |


Case Courtesy Dr Ariel J. Raigrodski
- Hệ thống CAD/CAM chính xác với sự khít sát hoàn hảo đường hoàn tất. Giảm tối đa nguy cơ sâu răng dưới phục hình.
- Hiệu quả lâm sàng đã được chứng minh – Các phục hình Lava được làm từ Zirconium oxit, vật liệu sứ nha khoa cứng nhất hiện có.
- Các cầu và mão Lava có màu sắc hoàn toàn giống răng tự nhiên và mang lại độ trong mà các phục hình sứ kim loại và các phục hình zirconia khác không thể.

Lava Zirconia không chỉ mang lại độ cứng và tuổi thọ lâu dài như sứ kim loại mà còn có hàng loạt những điểm vượt trội so với các phục hình Zirconia khác.
Các cầu mão Lava Zirconia có thể tái hiện chính xác màu răng thật và mang lại độ trong tự nhiên mà các phục hình kim loại và Zirconia opaque không thể.
Nụ cười của bạn xứng đáng với một điều gì khác quý giá hơn kim loại. Hãy tự mang đến nụ cười tự nhiên cho chính bạn và hỏi nha sĩ về phục hình Lava – nhãn hiệu zirconia được nha sĩ quan tâm nhiều nhất.


